AI-Enabled Heart CT Scans: A New Era of Precision Cardiac Care
AI-Enabled Heart CT Scans: A New Era of Precision Cardiac Care
Heart disease remains the leading cause of death globally, often striking silently before symptoms ever appear. With some advances over the years, cardiologists have mostly relied on standard imaging to gauge the health of heart arteries.
Ricardo Caldeira Cury, MD
Now, artificial intelligence (AI) is reshaping that landscape, offering a level of detail previously impossible to see without invasive surgery.
New AI-enabled heart CT scans are changing how doctors predict and prevent heart attacks, according to Ricardo Cury, M.D., medical director of cardiac imaging at Baptist Health Miami Cardiac & Vascular Institute and Baptist Hospital. This technology, which is being deployed across Baptist Health South Florida, including Palm Beach County, offers a greater "precision medicine" approach to cardiac health.
Socrates V Kakoulides, MD
This advanced scan precisely measures plaque inside the heart arteries and not just whether it’s there — but how much, what type, and where. Particularly, calcified vs non-calcified plaques and plaque with high-risk features.”
Beyond the Blockage: Understanding the Technology
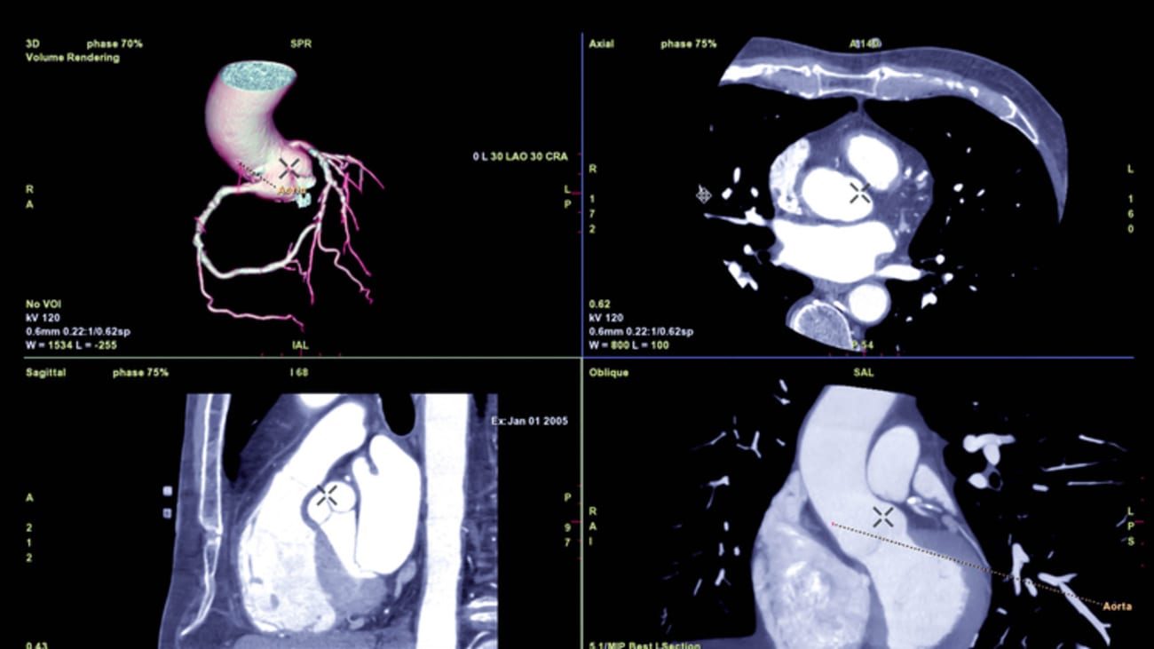
To understand the leap forward, it helps to look at how heart imaging has traditionally worked. A standard heart CT (computed tomography) scan provides doctors with a visual estimate of how narrowed an artery might be. It looks for "stenosis," or blockages, that impede blood flow.
“With AI, we now have the ability to see and analyze details that would have been missed by traditional scans, leading to much greater diagnostic accuracy,” said Socrates V. Kakoulides, M.D., cardiologist and chief imaging officer with Baptist Health Miami Cardiac & Vascular Institute.
Dr. Cury explains that the new AI-enabled scans go much further than simply identifying blockages.
"A traditional heart CT scan looks mainly for narrowings in the heart arteries and gives doctors a visual estimate of blockage severity," Dr. Cury said. "The AI-enabled heart CT goes several steps further."
This advanced software analyzes the CT images to quantify the disease itself, not just the space remaining in the pipe. "Instead of just asking — 'Is there a blockage?' — this technology helps answer 'How healthy are your arteries today and what risk do they pose in the future?' " Dr. Cury notes.
Uncovering Hidden Risks: Plaque Analysis
The core advantage of this technology lies in its ability to categorize and measure "plaque." Plaque is a waxy substance made of cholesterol, fat, calcium, and other substances found in the blood. Over time, plaque hardens and narrows your arteries, limiting the flow of oxygen-rich blood to your organs.
Not all plaque is the same. Some is calcified (hard and stable), while some is non-calcified (soft and more prone to rupturing). Ruptured plaque can cause a sudden blood clot, leading to a heart attack. Standard scans often struggle to distinguish the nuances of these plaque types, but AI excels at it.
"This advanced scan precisely measures plaque inside the heart arteries and not just whether it’s there — but how much, what type, and where," Dr. Cury explains. "Particularly, calcified vs non-calcified plaques and plaque with high-risk features."
This capability allows physicians to identify "early, hidden plaque before it causes symptoms or severe blockage," effectively catching heart disease in its silent phase.
Moving From Averages to Precision Medicine
One of the significant challenges in cardiology is that two patients might look identical on paper — same age, same cholesterol levels — but have vastly different arterial health.
"Personalized care is the cornerstone of modern cardiology,” said Dr. Kakoulides. “Every patient’s heart is unique, and our approach should reflect that individuality,"
Treating patients based on statistical averages may lead to under-treatment for one and over-treatment for the other.
"Heart disease is not the same for everyone," Dr. Cury said. "Two people can have the same cholesterol level but very different artery health."
With the granular data provided by AI analysis, doctors can move away from generic guidelines and tailor treatments to the individual. This might involve the use of statins — drugs commonly prescribed to lower cholesterol levels in the blood — or other therapies.
"Treatment can be customized: from lifestyle changes to medications based on your arteries, not averages," said Dr. Cury. "Some patients may avoid unnecessary medications, while others who need aggressive prevention can start earlier. Patients with advanced amount of plaque may benefit for other medications in addition to statins."
This alignment of care with a patient's actual biological status represents a shift toward what Dr. Cury calls "precision medicine for your heart."
The Long Game: Monitoring Disease Over Time
Heart disease is rarely a sudden event; it is a process that unfolds over years. The ability to quantify plaque volume allows doctors to track the disease's trajectory with mathematical accuracy.
"Heart attacks usually develop slowly over many years, long before symptoms appear," Dr. Cury said.
By using AI to track these changes, care teams can objectively measure if a treatment plan is working. Is the plaque growing? Is it shrinking? Is it stabilizing?
Dr. Cury notes that this monitoring means doctors can "adjust treatment sooner" and "reinforce prevention strategies that are working." The ultimate goal is to "focus on keeping plaque stable and quiet, which lowers heart attack risk."
Reducing the Need for Invasive Procedures
A major benefit for patients is the potential reduction in invasive diagnostic tests.
"AI-driven heart imaging allows us to avoid many invasive procedures that used to be routine, while still protecting our patients and ensuring accurate diagnoses," explains Dr. Kakoulides.
Historically, if a non-invasive test was inconclusive, a patient might be sent for an invasive coronary angiogram. An invasive angiogram is a procedure where a doctor inserts a long, thin tube called a catheter into a blood vessel in the arm or groin and guides it to the heart. Dye is injected through the catheter to make arteries visible on X-rays.
While effective, angiograms carry risks and are uncomfortable for patients. Dr. Cury suggests that the clarity of AI-enabled CT scans can often eliminate the need for these additional measures.
"Because this scan provides detailed and reliable information, some patients may avoid unnecessary stress tests or invasive angiograms," he says. "Doctors can be more confident about when no further testing is needed."
However, Dr. Cury emphasizes that the technology does not replace clinical judgment. "Doctors still consider symptoms, medical history, and scan findings," he says. "The goal is not fewer tests at all costs, but the right test, at the right time, for the right patient."
What Patients Can Expect
For the average consumer, the experience of undergoing an AI-enabled heart CT is nearly identical to a standard scan. It is a non-invasive, outpatient procedure that requires no recovery time.
"From a patient perspective, the process is straightforward," Dr. Cury assures. The scan is "usually completed in minutes" and involves "no catheters."
Once the images are captured, the AI software performs the heavy lifting behind the scenes, securely analyzing blood flow and plaque composition. These findings are then reviewed by a specialized cardiac imager to ensure accuracy before being presented to the patient.
The final report is often more digestible than traditional medical records. "Clear, visual reports help explain findings," said Dr. Cury. "Patients often find the results easier to understand and more empowering than traditional reports."
A Clearer Picture of Health
As artificial intelligence continues to integrate into healthcare, tools like AI-enabled heart CT scans are setting a new standard for preventative cardiology. By rendering the invisible visible, doctors can intervene earlier and more effectively.
"This AI-enhanced heart CT scan gives doctors a clearer, more complete picture of heart health," Dr. Cury concludes. "Allowing earlier detection, more personalized care, and better prevention of heart attacks without invasive procedures."
The team of experts at Baptist Health Heart & Vascular Care leading the way with this novel technology also includes, cardiologists Juan Lopez, M.D., and Sergiu Darabant, M.D., and cardiac imager and radiologist Karl Sayegh, M.D.
One way to understand your personal risk of developing heart disease is to get a heart scan. In just 30 minutes, a non-invasive CT scan can uncover risks you didn’t even know existed. Talk to your doctor and see if a heart scan is right for you. Visit BaptistHealth.net/HeartScan or call 833-596-2473 to find out more.

